Nanodiamonds Slip N’ Slide

Oil-free, nanoscale solid lubricant creates ultra-slippery layer between sliding surfaces in machinery.

Basic Energy Sciences

June 5, 2020
minute read time
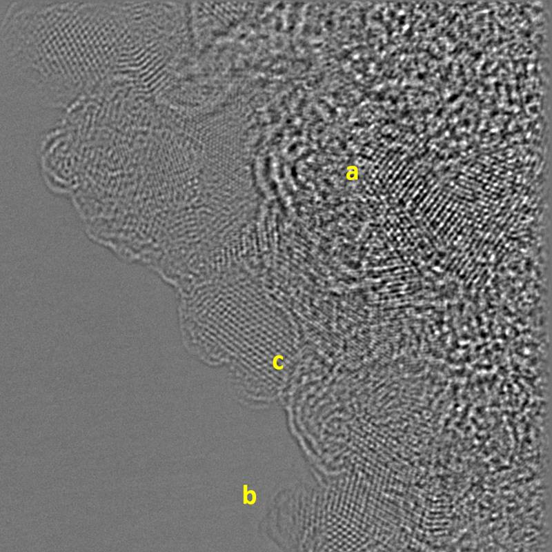
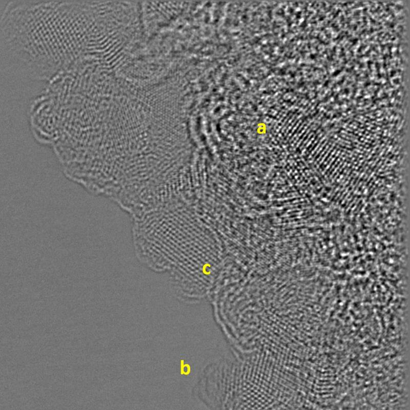
Transmission electron microscopy depicts wear debris from tests with the solid lubricant consisting of (a) nanodiamonds, (b) amorphous carbon, and (c) molybdenum disulfide iwith nanodiamonds.
Transmission electron microscopy depicts wear debris from tests with the solid lubricant consisting of (a) nanodiamonds, (b) amorphous carbon, and (c) molybdenum disulfide iwith nanodiamonds.
Reproduced from Applied Physics Letters, 115, 103103 (2019). [DOI: 10.1063/1.5116142], with the permission of AIP Publishing.

The Science

Scientists tested the performance of a dry, oil-free lubricant that could improve efficiency and decrease waste in industrial machinery. The dry solid lubricant includes diamond nanoparticles. It creates a surface coating that reduces friction 20-fold compared to oil-based lubricants.

The Impact

Bearings and gears are critical components in machines such as wind turbines and automobile engines and transmissions. These machines often require oil-based lubricants. These lubricants must be replaced when they break down. This reduces overall productivity and generates hazardous waste. Dry, oil-free lubricant alternatives can help improve energy efficiency by working better than oil-based lubricants. They can also reduce the adverse environmental effects of replacing lubricants.

Summary

Due to high contact pressure and sliding velocity, bearings and gears often experience significant wear, such as the formation of micro-scale pits on the surface of the machinery. Traditionally, machinery uses oil-based lubricants to reduce wear. Oil-based lubricants are sometimes improved by using diamond-like carbon (DLC) coatings. DLCs help to mitigate macro- and micro pitting in oil-lubricated contacts. This study went one step further by testing the potential of nanoscale solid lubricants along with DLC in a completely dry, oil-free environment for the first time. Nanoscale solid lubricants are made of tiny particles measuring just billionths of a meter.

For this study, the scientists designed a micro-pitting rig to test the performance of DLC, in combination with two-dimensional molybdenum-disulfide materials and nanodiamonds. The combined material is a potential oil-free lubricant in dry conditions. The scientists also used facilities at the Center for Nanoscale Materials, a Department of Energy Office of Science user facility, to conduct Raman microscopy, scanning electron microscopy/energy dispersive X-Ray spectroscopy, and transmission electron microscopy characterization of the lubricants and surface wear in the experiment.

The experiment demonstrated that under dry conditions, the solid lubricant achieved superlubricity (near-zero friction) by creating a carbon-rich layer between sliding surfaces. The lubricant reduced traction by about 13 times compared to a previous oil-lubricated micro-pitting rig test. Additionally, compared to steel-on-steel contacts lubricated with oil, the dry lubricants reduced traction by at least 20 times. These results indicate the new solid lubricant could dramatically reduce wear and improve the efficiency of machinery.

Contact

Anirudha Sumant and Jianguo Wen
Center for Nanoscale Materials, Argonne National Laboratory  
sumant@anl.gov, jwen@anl.gov

Funding

Use of the Center for Nanoscale Materials was supported by the U.S. Department of Energy Office of Science, Office of Basic Energy Sciences. Part of this research was supported by the Department of Energy, Technology Commercialization Program, Office of Fossil Energy. This study also used tribological test facilities at the Timken Engineered Surface Laboratories at the University of Akron in Akron, Ohio.

Publications

Mutyala, K.C., Doll, G.L., Wen, J., and Sumant, A.V., “Superlubricity in rolling/sliding contacts”, Applied Physics Letters, 115, 103103 (2019). [DOI: 10.1063/1.5116142]