A research team at Michigan Technological University and Oregon State University has identified and functionally characterized a gene called
Biological and Environmental Research
June 30, 2016
The Science
Trees in temperate climates undergo annual cycles of growth and dormancy corresponding to summer and winter seasons, a critical strategy that allows perennial plants to survive cold and dehydration during the winter months. These important transitions are controlled by the length of the day, or photoperiod, and temperature, but the exact mechanisms by which these annual cycles are initiated in the trees are still poorly understood.
The Impact
The gene identified and characterized in this study will enhance the understanding of how woody perennial plants begin their growth cycle, enabling development of new approaches to population management, genetic engineering of dormancy-related traits, and breeding trees better adapted to changing environments such as a warmer climate.
Summary
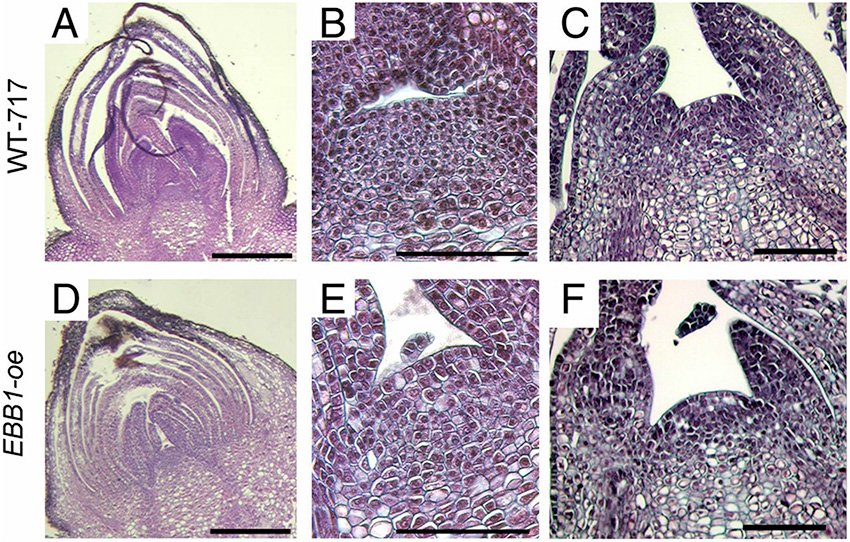
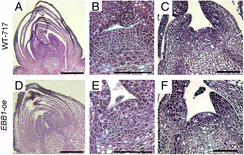
A research team at Michigan Technological University and Oregon State University has identified and functionally characterized a gene called Early Bud-Break 1 (EBB1) in poplar, a bioenergy feedstock. This gene serves as a "master regulator" in the timing of spring growth reactivation, or budbreak. In addition, the protein encoded by EBB1 was found to function in many other processes critical to survival in poplar, including nutrient cycling and root growth. Results showed that overexpression of the EBB1 gene is sufficient to accelerate bud-burst, whereas down-regulation delays budbreak, enhancing the understanding of dormancy release in woody perennial plants and enabling development of new approaches to breeding trees.
Contact
Victor B. Busov
Michigan Technological University
vbusov@mtu.edu
Funding
This research was supported, in part, by grants from the Office of Biological and Environmental Research within the U.S. Department of Energy Office of Science (Grants DE-FG02-06ER64185, DE-FG02-05ER64113, and DE-SC0008462); National Resources Inventory Plant Genome Program within the U.S. Department of Agriculture (USDA) (Grant 2003-04345); Consortium for Plant Biotechnology Research, Inc. (Grant GO12026-203A); USDA Biotechnology Risk Assessment Research Grants Program (Grant 2004-35300-14687); USDA McIntire Stennis Fund (Grant 1001498); and industrial members of the Tree Biosafety and Genomics Research Cooperative at Oregon State University.
Publications
Y. S. Yordanov, C Ma, S. H. Strauss, and V. B. Busov, "EARLY BUD-BREAK 1 (EBB1) is a regulator of release from seasonal dormancy in poplar trees
." Proceedings of the National Academy of Sciences USA 111(27), 10001?10006 (2014). [DOI: 10.1073/pnas.1405621111].
Related Links
Highlight Categories
Performer/Facility: University
Additional: Collaborations, Non-DOE Interagency Collaboration